치주질환 초기 단계에서 꼭 알아야 할 관리법
치주질환 관리에 대해 알아보세요. 초기 단계에서 효과적으로 대처할 수 있는 방법과 치주질환이란 무엇인지, 치료 방법까지 상세히 안내합니다.
치주질환이란
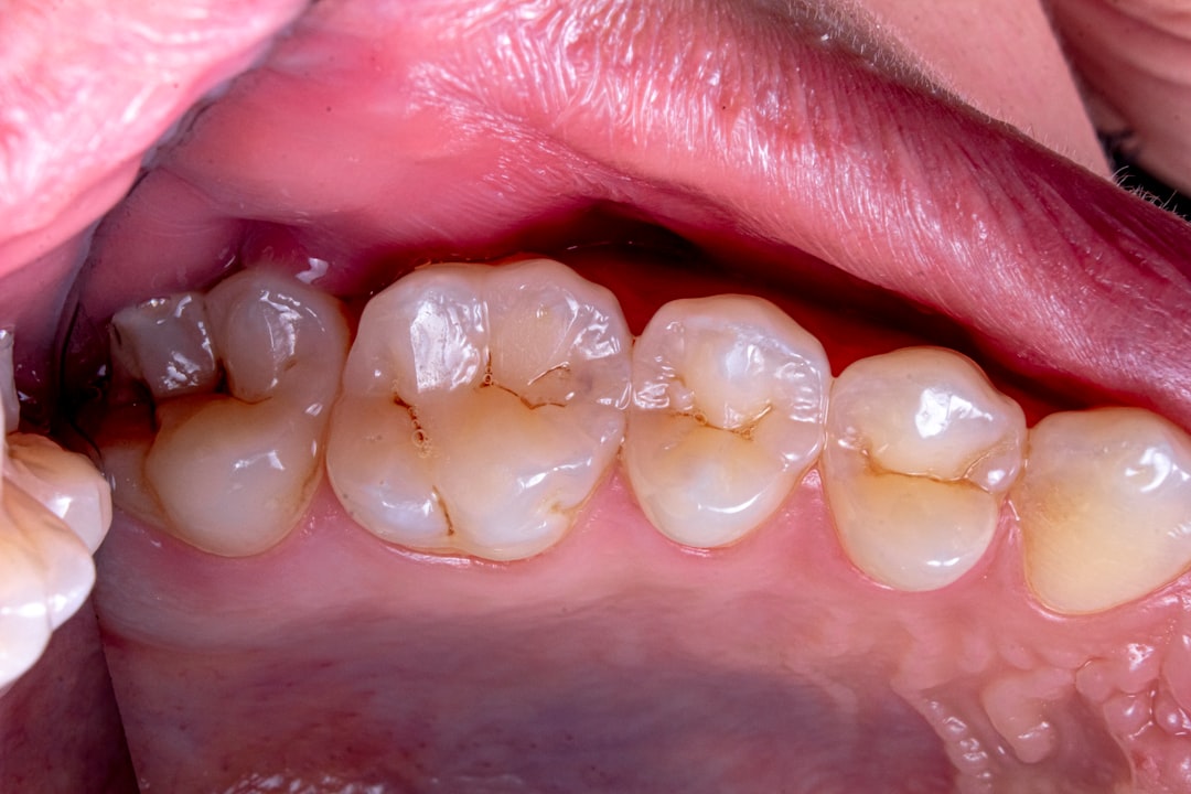
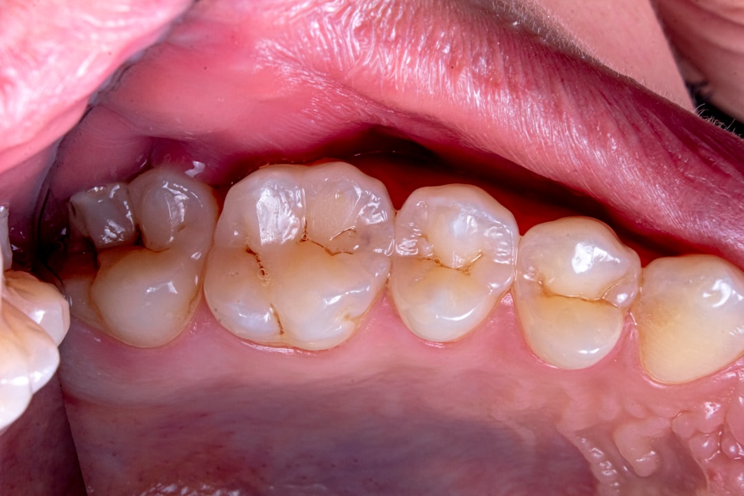
치주질환은 잇몸과 치아를 둘러싼 조직에 발생하는 염증성 질환으로, 쉽게 말해 치주질환은 잇몸 건강과 직결된 문제입니다. 초기에는 잇몸의 붓기와 출혈이 발생하고, 점점 진행되면서 치아가 흔들리거나 심한 경우에는 치아 상실로 이어질 수 있습니다. 이러한 과정은 무의식적으로 진행되기 때문에 많은 사람들이 치주질환에 대한 경각심을 가지지 않습니다. 그러니 치주질환이란 무엇인지, 그 본질에 대한 이해가 필요합니다.

이러한 치주질환은 주로 플라그와 세균에 의해 발생합니다. 플라그가 축적되면 염증이 생기고, 이를 방치하면 치주조직이 손상됩니다. 게다가 이 질환은 단순히 구강 건강에만 영향을 미치는 것이 아니라 전신 건강에도 악영향을 줄 수 있다는 점에서 주의를 기울여야 합니다.
치주질환의 초기 증상은 일반적으로 가벼운 치통 또는 잇몸 출혈로 나타납니다. 하지만 이러한 증상이 나타났을 때는 이미 초기 치주질환이 진행되고 있다는 신호일 수 있습니다. 따라서 정기적인 치과 검진이 필요하며, 문제가 생기기 전에 예방 조치를 취하는 것이 가장 좋습니다. 치주질환의 초기 단계에서 치료를 시작하면 그 효과를 극대화할 수 있습니다.
치주질환은 사람에 따라 발병 원인이 다를 수 있으며, 그에 따라 치료 방법도 달라집니다. 이를테면 스트레스, 흡연, 유전적 요인 등이 복합적으로 작용하여 치주질환을 유발할 수 있습니다. 그러니 각자의 상황에 맞는 예방 및 관리 방법을 찾아야 합니다.
치주질환 관리의 중요성
치주질환을 조기에 발견하고 관리하는 것은 매우 중요합니다. 치주질환은 조기에 치료할수록 더욱 효과적인 결과를 낳기 때문입니다. 게다가 잇몸 건강을 유지하면 치아의 생명력도 높아지며, 이는 전체적인 삶의 질과 직결됩니다. 따라서 꾸준한 관리가 요구됩니다.
초기 단계에서의 관리 방법은 상대적으로 간단합니다. 매일의 구강 위생 관리는 필수적이며, 올바른 양치질과 치실 사용이 핵심입니다. 따라서 치약 선택도 중요한데, 치주질환 치료를 위해 특화된 치약을 사용하는 것이 도움이 될 수 있습니다. 이러한 제품들은 잇몸의 염증을 줄여주는 성분이 포함되어 있습니다.
또한 정기적인 치과 방문과 전문가의 청소 서비스도 필요합니다. 전문가는 단순히 치아를 청소하는 것 이상으로, 잇몸의 건강 상태를 면밀히 체크하고 초기 치료 방법을 제안합니다. 이를 통해 치주질환의 진행을 예방할 수 있습니다.
결국 치주질환은 방치하면 그 심각성이 더욱 커질 수 있기에 sürekli 관리와 예방이 중요합니다. 정기적인 관리로 잇몸 건강을 높이고, 이를 통해 건강한 삶을 이어나갈 수 있습니다.
치주질환 치료 방법
치주질환의 초기 단계에서 시행할 수 있는 치주질환 치료 방법은 다양합니다. 일반적으로는 치아의 청소 및 플라그 제거가 포함되며, 필요할 경우 항생제나 진통제가 처방될 수 있습니다. 이렇게 초기 관리로 치주질환을 개선하는 것이 중요합니다.
또한, 치료 시작 후에는 꾸준한 관리를 통해 치주질환 재발을 방지해야 합니다. 보통은 치료 후 3개월마다 검진을 받고, 필요한 조치를 받는 것이 좋습니다. 잇몸 상태가 호전되면 치료 주기를 늘릴 수 있습니다.
무엇보다 예방이 가장 중요합니다. 건강한 생활습관과 올바른 구강위생 유지를 통해 초기 치주질환을 예방할 수 있습니다. 잇몸이 건강하면 치아도 튼튼하게 유지될 수 있으므로 다양한 정보와 방법에 대한 이해가 필수적입니다.
이제 치주질환이러는 미지의 영역이 아닌, 충분히 이해하고 예방할 수 있는 문제입니다. 또한 전문가의 도움을 받는 것이 언제나 최선의 방법입니다.
치주질환 수술 필요성
경우에 따라 치주질환 수술이 필요할 수도 있습니다. 치료를 통해 개선되지 않는 경우, 잇몸의 깊은 부분까지 손상된 경우에는 외과적 개입이 필요할 수 있습니다. 초기 치주질환이 심화되면 수술을 통해 염증을 제거하고 손상된 조직을 복구해야 할 수도 있습니다.
수술 후에는 더욱 철저한 관리가 요구됩니다. 평소와는 다른 식생활 및 구강 위생 관리를 해야 하고, 정기적인 검진이 필수입니다. 수술 후 잇몸의 회복과 건강을 유지하기 위해서는 시간을 투자해야 합니다.
치주질환 수술은 여러 단계로 진행될 수 으며, 이에 대한 이해가 필요합니다. 초기 치료 방법과 더불어 수술 진행 후의 관리도 좋은 결과를 가져올 수 있습니다.
이 때문에 초기 치주질환을 예방하고, 문제가 발생할 경우 신속하게 대처하는 것이 매우 중요합니다.

치주질환 예방 방법
치주질환을 예방하는 방법은 다양합니다. 기본적으로는 치주질환 치약 사용이 매우 효과적입니다. 이는 잇몸에 자극을 주지 않으면서도 염증을 줄여주는 성분이 포함되어 있어 이를 꾸준히 사용하면 도움이 됩니다.
또한 정기적인 스케일링과 검진이 필요합니다. 전문가에게 치아 및 잇몸 상태를 점검받는 것이 중요하며, 이를 통해 초기 증상을 발견할 수 있습니다. 건강한 잇몸을 유지하기 위해서는 한 번의 치료로 끝내지 말고 지속적으로 관리해야 합니다.
그리고 스트레스 관리도 중요한 역할을 합니다. 정신적인 스트레스는 직접적으로 잇몸 건강에 영향을 주기 때문에, 규칙적인 운동과 여가 활동을 통해 건강을 유지해야 합니다. 마음의 여유가 있다면 잇몸 건강에도 긍정적인 영향을 줍니다.
치주질환 예방은 우리의 구강 건강뿐만 아니라 전반적인 건강도 지키는 길입니다. 스스로의 노력이 헛되지 않도록 꾸준히 지켜주세요.
치주질환과 같이 주의를 요하는 질환
치주질환 외에도 여러 가지 구강 건강 문제가 있으니 주의해야 합니다. 치주병과 7가지 질환은 구강 건강에 영향을 미치는 다양한 요인들에 대해 알려줍니다. 여기에는 충치, 구내염, 그리고 입안의 감염 등 다양한 문제가 포함됩니다.
특히 치주질환은 이런 문제들과 연관이 깊기 때문에 구강 건강을 위해서는 치주질환을 예방하고 관리하는 것이 중요합니다. 이를 통해 전반적인 건강을 지킬 수 있습니다.
| 치주질환 유형 | 증상 | 치료 방법 |
|---|---|---|
| 경증 치주염 | 잇몸 출혈, 붓기 | 플라그 제거, 항염제 |
| 중증 치주염 | 잇몸 통증, 치아 흔들림 | 치주 치료, 수술 |
이런 글도 읽어보세요
직장 내 장애인 인식개선교육 이수법과 효과 확인하기
직장 내 장애인 인식개선교육은 장애인에 대한 인식을 개선하고 올바른 이해를 도모하기 위한 필수 교육이다. 이 교육이 갖는 목적과 이수 방법, 효과에 대해 자세히 알아보자.직장 내 장애인
eddy.eddangwon.co.kr
알뜰폰요금제 최저가 완벽 가이드, 요금 비교와 가입 팁
알뜰폰요금제 최저가를 찾고 있나요? 이 가이드는 요금 비교와 가입 팁을 통해 알뜰폰의 장점을 극대화할 수 있도록 도와줍니다!알뜰폰요금제 최저가어쩌면, 매달 통신비를 지출하는 것이 가장
eddy.eddangwon.co.kr
미국 비자 면접 준비를 위한 필수 체크리스트
미국 비자 면접 준비는 철저한 체크리스트가 필수입니다. 올바른 서류와 자신감 있는 태도가 중요합니다. 본 문서를 통해 준비 단계에서 필요한 모든 정보를 제공합니다.미국 비자 면접 이해하
eddy.eddangwon.co.kr
자주 묻는 질문 (FAQ)
치주질환의 초기 증상은 무엇인가요?
주로 잇몸 출혈이나 붓기가 초기 증상으로 나타납니다. 이러한 증상이 지속되면치과에 가는 것이 중요합니다.
치주질환을 예방하는 방법은?
올바른 양치질, 정기적인 스케일링, 치주질환 치약 사용이 중요합니다. 평소 건강한 생활습관을 유지하는 것도 큰 도움이 됩니다.
치주질환 치료에는 어떤 방법이 있나요?
초기에는 플라그 제거와 항생제 사용이 일반적이며, 진행된 경우 수술이 필요할 수 있습니다. 치료 후에는 지속적인 관리가 필요합니다.
댓글